Bilde
Lumbalcolumna, side
Sist oppdatert:
2. juni 2015

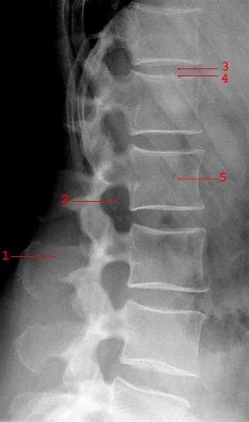
Normalt sidebilde av de lumbale virvler (Ryggsøylen, nedre del)
- Processus spinosus
- Foramen intervertebrale
- Mellomvirvelskive (litt lav)
- Øvre dekkplate L1
- Virvelcorpus L2
Sist oppdatert:
2. juni 2015

Normalt sidebilde av de lumbale virvler (Ryggsøylen, nedre del)