Bilde
Humerusfraktur
Sist oppdatert:
2. juni 2015

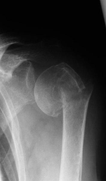
Tverrfraktur gjennom collum chirurgicum humeri med opprykking og lateralisering av skaftfragmentet
Sist oppdatert:
2. juni 2015

Tverrfraktur gjennom collum chirurgicum humeri med opprykking og lateralisering av skaftfragmentet