Bilde
Greenstickfraktur
Sist oppdatert:
2. juni 2015

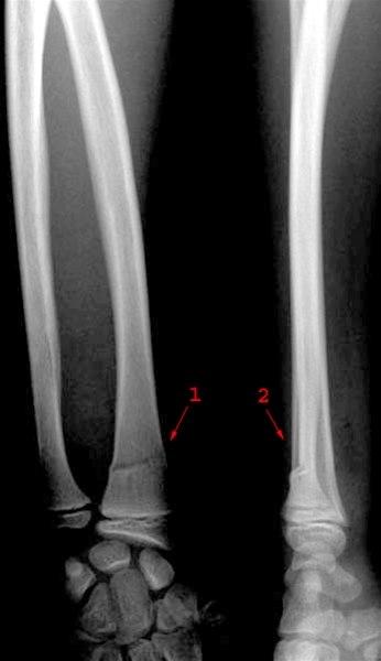
Fraktur (1 og 2) distalt i radius med lett bakovervinkling av distale fragment (1 og 2). Benet er bøyd, men ikke løsnet
Sist oppdatert:
2. juni 2015

Fraktur (1 og 2) distalt i radius med lett bakovervinkling av distale fragment (1 og 2). Benet er bøyd, men ikke løsnet