Bilde
Cuboid/metatars fraktur
Sist oppdatert:
2. juni 2015

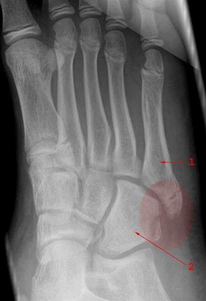
Fraktur uten feilstilling gjennom basis av femte metatars og lateralt i os cuboideum
- 5. metatars
- Os cuboideum (terningbenet)
Sist oppdatert:
2. juni 2015

Fraktur uten feilstilling gjennom basis av femte metatars og lateralt i os cuboideum