Bilde
Colon-invaginasjon
Sist oppdatert:
6. okt. 2015

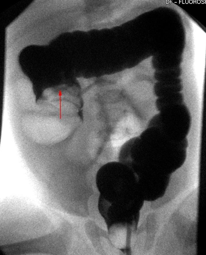
Enkelkontrastundersøkelse av tykktarmen. Terminale ileum og coecum har vrengt seg inn i colon ascendens (pil). Ofte kan man ved hjelp av trykket fra colonkontrasten reponere invaginasjonen
Sist oppdatert:
6. okt. 2015

Enkelkontrastundersøkelse av tykktarmen. Terminale ileum og coecum har vrengt seg inn i colon ascendens (pil). Ofte kan man ved hjelp av trykket fra colonkontrasten reponere invaginasjonen