Bilde
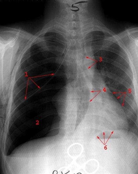
Ventilpneumothorax
Sist oppdatert:
31. des. 2001

Pneumothorax
Ventileffekt med betydelig overskytning av mediastinum
- Dren
- Luftfylt thorakshule
- Bronkie (pilene står en over og en under carina)
- Høyre hjerteskygge
- Venstre hjerteskygge
- Diafragma
Sist oppdatert:
31. des. 2001

Pneumothorax
Ventileffekt med betydelig overskytning av mediastinum