Bilde
Torakoplastikk med oljeplombe
Sist oppdatert:
31. des. 2001

Tuberkulose
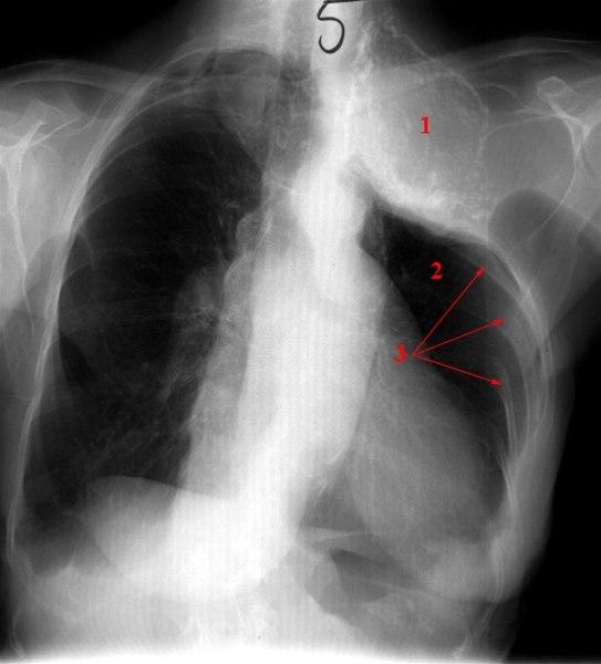
Behandlet med torakoplastikk (2). Normale costae nedenfor (3)
Oljeplombe over venstre side (1)
Sist oppdatert:
31. des. 2001

Tuberkulose
Behandlet med torakoplastikk (2). Normale costae nedenfor (3)
Oljeplombe over venstre side (1)