Bilde
Tbc-torakoplastikk
Sist oppdatert:
31. des. 2001

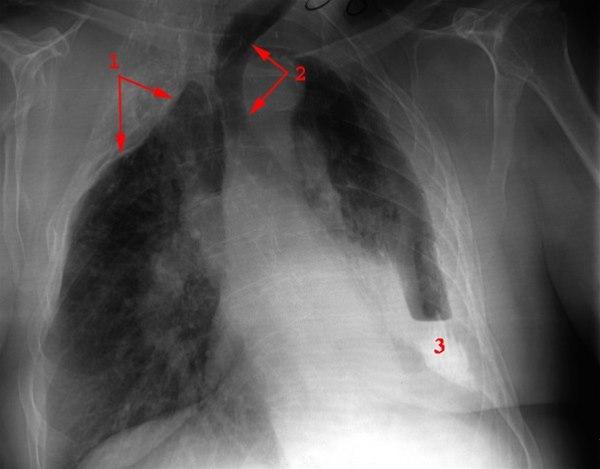
Tbc behandlet med torakoplastikk høyre side (1)
Utbredte parenkymforandringer
- Torakoplastikk høyre side
- Larynx trukket over mot sammenfalt lungeavsnitt
- Svær forkalkning basalt venstre side
Sist oppdatert:
31. des. 2001

Tbc behandlet med torakoplastikk høyre side (1)
Utbredte parenkymforandringer