Bilde
Tbc torakplastikk
Sist oppdatert:
31. des. 2001

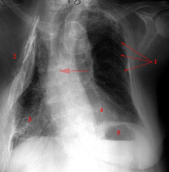
Forandringer etter torakoplastikk på høyre side
- Ribben
- Sammenfall etter torakoplastikk (fjerning av costae). Den friske siden forskyvd over mot den syke
- Fortetninger i høyre underlapp
- Hjerteskyggen
- Luft under v. diafragmakuppel, normalfenomen
Annonse