Bilde
Spontanpneumothorax
Sist oppdatert:
8. apr. 2005

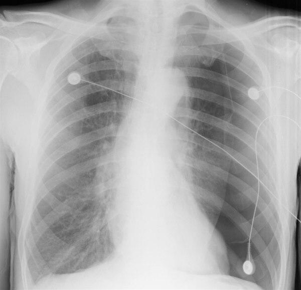
Røntgenbildet viser en venstresidig pneumothorax der lungen er redusert til ca. halve volumet. Ytterkanten på venstre lunge er klart synlig, og hjertet er forskjøvet over mot høyre side.
Sist oppdatert:
8. apr. 2005

Røntgenbildet viser en venstresidig pneumothorax der lungen er redusert til ca. halve volumet. Ytterkanten på venstre lunge er klart synlig, og hjertet er forskjøvet over mot høyre side.