Bilde
Primær tuberkulose
Sist oppdatert:
31. des. 2001

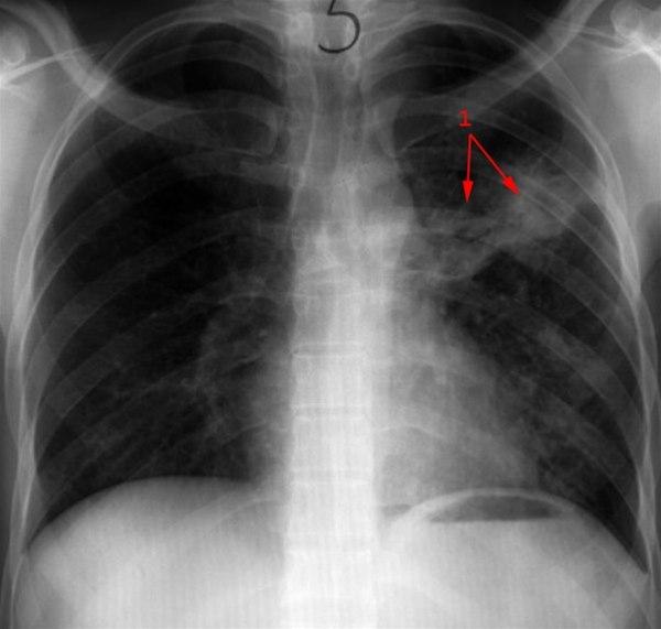
Primær tuberkulose - bilde 1
Utbredte fortetninger spesielt venstre lunge (1)
Før behandling
Sist oppdatert:
31. des. 2001

Primær tuberkulose - bilde 1
Utbredte fortetninger spesielt venstre lunge (1)
Før behandling