Bilde
Pneumothorax med dren
Sist oppdatert:
31. des. 2001

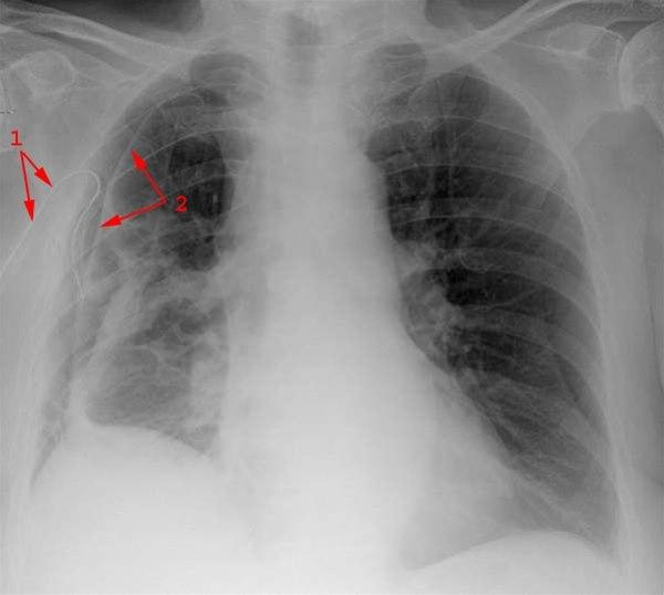
Pneumothorax med luftkappe på høyre side
Mellomgolvet er løftet
Drenasje til pleurahulen (1)
Overflaten av den delvis sammenklappede lungen (2)
Sist oppdatert:
31. des. 2001

Pneumothorax med luftkappe på høyre side
Mellomgolvet er løftet
Drenasje til pleurahulen (1)
Overflaten av den delvis sammenklappede lungen (2)