NHI.no
Annonse
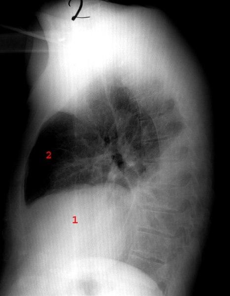
Bilde

Pleuropneumoni - side

Sist oppdatert:

31. des. 2001

Pleuropneumoni - side

Pneumoni med pleuravæske