Bilde
Lungekreft, front og side
Sist oppdatert:
17. des. 2004

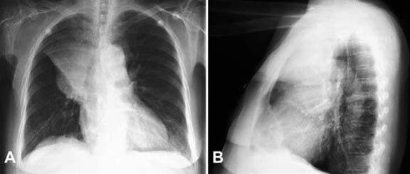
Frontal- og sidebilde av et bronkogent karsinom som har forårsaket sammenfall av øvre høyre lungelapp.
Sist oppdatert:
17. des. 2004

Frontal- og sidebilde av et bronkogent karsinom som har forårsaket sammenfall av øvre høyre lungelapp.