Bilde
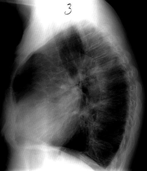
Cor pulmonale - side
Sist oppdatert:
31. des. 2001

Cor pulmonale (hjertestuvning på grunn av stor motstand i lungekretsløpet)
Forstørret høyre hjertehalvdel
Bifunn: Tydelig forkalket aortabue
Sist oppdatert:
31. des. 2001

Cor pulmonale (hjertestuvning på grunn av stor motstand i lungekretsløpet)
Forstørret høyre hjertehalvdel
Bifunn: Tydelig forkalket aortabue