NHI.no
Annonse
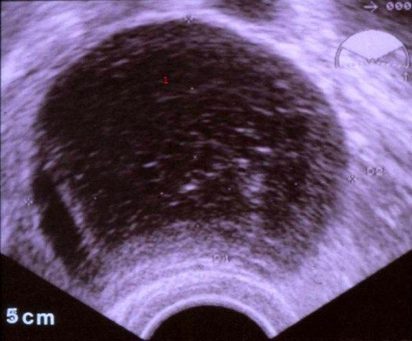
Bilde

Hemorragisk cyste

Sist oppdatert:

8. apr. 2021

Hemorragisk cyste
  1. Hæmoragisk cyste