NHI.no
Annonse
Bilde

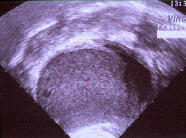
Endometriom

Sist oppdatert:

8. apr. 2021

Endometriom
  1. Endometrie-tumormasse
  2. Uteruscavitet