NHI.no
Annonse
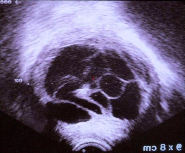
Bilde

Degenerativt myom

Sist oppdatert:

8. apr. 2021

Degenerativt myom
  1. Myom med dannelse av cyster