NHI.no
Annonse
Bilde

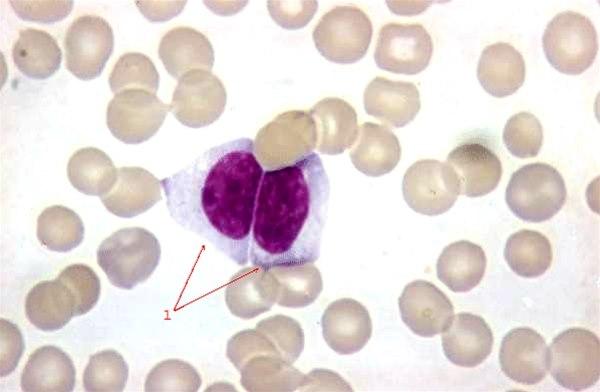
Mononukleose, McKinlay celler

Sist oppdatert:

5. aug. 2025

Fotoet viser mononukleose, McKinlay celler