Alarmerende mye resistente tuberkulosebakterier
Forekomsten av både multiresistente- og uttalt resistente tuberkulosebakterier øker. I en studie av 1278 pasienter fra flere land, fant forfatterne at 44 prosent av deltakerne hadde tuberkulose som var resistent mot minst en andrelinjemedisin.

Av:
Merethe Kvam, journalist. Godkjent av medisinsk redaktør.
Sist oppdatert:
4. sep. 2012
Artikkelen er mer enn to år gammel og kan inneholde utdatert informasjon
Forekomsten av uttalt resistente tuberkulosebakterier (XDR-TB - extensively drug-resistant tuberculosis) øker på grunn av den utbredte bruken av andrelinjemedisiner hos personer som har multiresistent (MDR) sykdom. Dette ifølge en studie som ble forhåndspublisert på nett i the Lancet i slutten av august 20121.
Foto: PHIL - Centers for Disease Control and Prevention. Elektonmikroskop viser 32181x forstørrelse av Mycobacterium tuberculosi, en gram positive stavbakterie. Bakterien er aerob og kan bare overleve i miljø med oksygen. Bakterien er omtrent 2-4µm lang og 0.2 - 0.5 bredForskere har funnet alarmerende mange tilfeller av tuberkulose i Afrika, Asia, Europa og Latin-Amerika, som er resistent mot opptil fire hyppig brukte antibiotika mot tuberkulose (tuberkulostatika).
Tuberkulose er en livstruende infeksjon som først og fremst angriper lungene. Sykdommen dreper hvert år mellom 1 og 2 millioner mennesker rundt om i verden.
Les også vårt intervju med Gunnar Skov Simonsen om antibiotikaresistens: - Vi er i ferd med å bruke opp alternativene.
10 ganger høyere
Nivåene av både MDR-TB og XDR-TB var høyere enn tidligere antatt, og truer globale tiltak som er satt i verk for å bremse spredningen av sykdommen. Verdens helseorganisasjon har som mål å halvere forekomst og antall dødsfall forårsaket av tuberkulose fram mot 2015.
Foto: PHIL - Centers for Disease Control and Prevention:Særlig i andre deler av verden er tuberkulose i andre deler av kroppen enn i lungene et problem. Bildet viser en 20 gammel kvinne fra Pakistan som har fått fjernet en tuberkulose-infisert lymfeknute på halsen .De fleste internasjonale anbefalinger vedrørende tuberkulosekontroll har kalkulert med en MDR-TB forekomst på opptil fem prosent. Nå ser de at forekomsten er opptil 10 ganger høyere noen plasser, hvor nesten halvparten av infiserte pasienter overfører MDR-stammer av Mycobacterium tuberculosis. Den høyeste forekomsten av MDR-TB som er dokumentert så langt, var på 47.8 prosent. Dette ble rapportert i Minsk i Hviterussland i 2011. Blant pasienter med smittsom lungesykdom ble MDR-TB funnet hos 35 prosent av nyoppdagede tilfeller, og hos hele 76 prosent av tidligere behandlede pasienter, skriver forfatteren av en kommentarartikkel som ble publisert i the Lancet i forbindelse med studien.2
Foto: PHIL-CDC: Bilde er tatt I 1932 og viser en rutineundersøkelse utført på et tuberculose-sanatorium i USA. Bakgrunnen er at pasienten jobber på et meieri, og regelmessig testing av mennesker i matindustrien var viktig for å holde maten fri for smitte.Tuberkulose er i dag en verdensomspennende pandemi, som har smittet 8.8 millioner og som tok livet av 1.4 millioner mennesker i 2010.
Kostbar og tidkrevende behandling
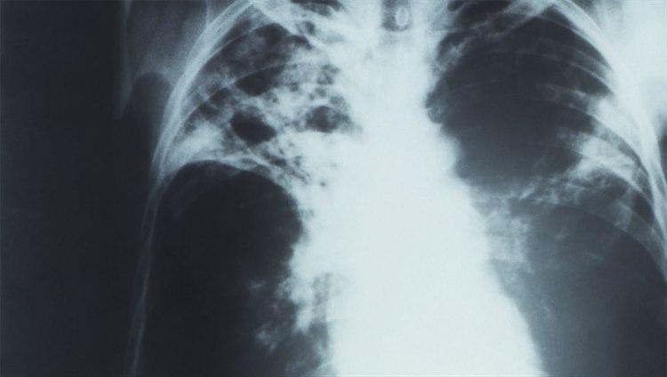
Foto: PHIL - CDC: Røntgenbilde (anterioposteriort) av en pasient med diagnosen avansert, aktiv, lungetuberkulose. Bildet viser bilateralt infiltrat og typisk tuberkulose-uthuling av høyre lungetopp.Antibiotikaresistent tuberkulose er både vanskeligere og dyrere å behandle enn vanlig tuberkulose. Den er også mer dødelig. Behandling av resistente tuberkulosebakterier er svært kostbart - opptil 200 ganger dyrere enn vanlig tuberkulosebehandling. Behandlingen i seg selv kan også gi alvorlige bivirkninger.
Vanlig tuberkulose krever ofte behandling i opptil seks måneder. Mange pasienter fullfører ikke kurene, og dette er en faktor som medvirker til utviklingen av de resistente variantene av bakterien. Dermed er det størst fare for de med få ressurser - behandlingen er dyr, tidkrevende - og det tar tid før du ser effekten av behandlingen. Mange mister derfor motivasjonen til å fullføre en kur. I Norge brukes derfor "Direkte oberservert terapi" (DOT-behandling) i enkelte tilfeller. Dette innebærer at den smittede møter opp på f.eks helsestasjon daglig for å innta foreskrevet medisin.
Forskerne bak studien så på forekomsten av sykdommen i Estland, Latvia, Peru, Filippinene, Russland, Sør-Afrika, Sør-Korea og Thailand, og fant at i 44 prosent av tilfellene med MDR TB, var bakteriene også resistente mot minst en andrelinjemedisin.
En person smittes hvert sekund
Foto: PHIL- CDC: Lege og sykepleier observerer et røntgenbilde av en tuberkulosepasient.Minst 100 millioner nye tilfeller med tuberkulose forventes å utvikle seg innen år 2020 og 36 millioner er forventet å dø av sykdommen.
I øyeblikket får i gjennomsnitt én person i sekundet tuberkulose - 8-9 millioner hvert år. Man antar at 30% av verdens befolkning er smittet med tuberkulose (ca. 2 milliarder). Tuberkulose er uvanlig i Norge, men blant innvandrere er forekomsten relativt høy.
- Dalton T, Cegielski P, et al. Prevalence of and risk factors for resistance to second-line drugs in people with multidrug-resistant tuberculosis in eight countries: a prospective cohort study. Lancet 2012. www.thelancet.com
- Hoffner S. Unexpected high levels of multidrug-resistant tuberculosis present new challenges for tuberculosis control. Lancet 2012. www.thelancet.com
- Alarming levels of drug-resistant TB found worldwide - Reuters. www.reuters.com