Bare en uvane ...
Han drakk minst 10 liter væske i døgnet, men det var bare en uvane han hadde lagt seg til.

Terje Johannessen, professor dr. med.
Sist oppdatert:
20. apr. 2021
Artikkelen er mer enn to år gammel og kan inneholde utdatert informasjon
En ung mann sent i tyveårene kontaktet allmennlegen fordi han hadde merket tiltakende episoder med intens hodepine, balanseproblemer, nedsatt følelse i venstre hånd og en økende fysisk slitenhet. Han hadde tidligere vært frisk, men fortalte litt motvillig at hans samboer insisterte på at han også hadde et usedvanlig høyt væskeinntak. Selv mente han at dette ikke var noe å bry seg om, det hadde vært slik i flere år. Det var en uvane han hadde lagt seg til i studietiden. Lange lesetimer utover kvelden og natten gjorde at han drakk mye kaffe, brus og vann hele dagen gjennom. På spørsmål fra allmennlegen om hvor mye han drakk nå, svarte mannen at det kunne være omtrent 10 liter i døgnet.
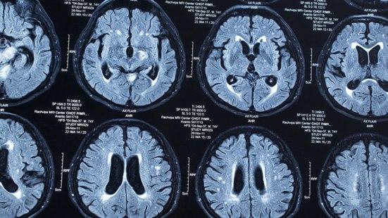
Allmennlegen mistenkte en sentralnervøs nevrologisk tilstand og henviste mannen til MR av hjernen. Noen dager senere forelå svaret. Det var multiple lesjoner spredt rundt i bakre skallegrop, blant annet i hjernestammen, cerebellum og i hypothalamus. De romoppfyllende prossesene ga et økt intrakranielt trykk, og hodepinen ble vurdert som truende herniering. Han ble umiddelbart innlagt nevrologisk avdeling, og det ble startet høydosebehandling med steroider for å få ned det intrakranielle trykket.
Den kliniske undersøkelsen avdekket anisokori, sensibilitetstap under føttene og i venstre hånd og positiv Rombergs test. Pasienten hadde også en følelse av nedsatt kraft, men uten at tester kunne påvise en slik sammenheng. Det var uansett ikke noen tidligere tester å sammenligne med, så testene hadde begrenset verdi.
Nevrologene overveide ulike diagnoser som multippel sklerose, sarkoidose, lymfom, infeksjon og ulike former for neoplasme. Det ble utført en lang rekke differensialdiagnostiske undersøkelser blant annet med lumbalpunksjon, biopsi fra innsiden av øyelokk, beinvevsbiopsi, beinmargsbiopsi, bronko-alveolær lavage og tester av abdominale organer uten at det ble avdekket noe unormalt ved disse undersøkelsene. Selv om det var forbundet med risiko, besluttet man å ta biopsi av lesjonen i hjernestammen. Under inngrepet hadde pasienten hjertestans to ganger. Frysesnitt undersøkt mens pasienten enda var i narkose, viste glioblastom. De neste dagene anvendte patologen forskjellige fargemetoder på de histologiske snittene for å få frem ulike karakteristika. Patologen ble mer og mer usikker på den histologiske diagnosen. Det ble besluttet å sende snittene til et senter med spesialkompetanse på histopatologi i hjernen. Det tok fire uker før svaret forelå: Langerhans celle histiocytose (LCH).
LCH er en sjelden tilstand som normalt angriper beinvev og som først og fremst rammer barn. At tilstanden rammer en voksen, og kun i hjernevev, er uvanlig. Det er en tilstand karakterisert ved unormal proliferasjon og spredning av histiocytter og modne eosinofile celler. Det er uklart om det dreier seg om en (granulomatøs) betennelse eller et neoplasme, men under normale omstendigheter beskrives tilstanden som en ikke-malign proliferasjon av Langerhans-celler som tilhører beinmargsderiverte dendritiske celler. LCH kan manifestere seg på ulike måter, og tilstanden kan foreligge i ett eller flere organ. Aktuelle organ er bein, hud, lunger, lever, milt, gastrointestinaltraktus, beinmarg, sentralnervesystemet. Alvorlighetsgraden spenner fra solitære beinlesjoner, som kan gå spontant tilbake, og til multisystem, livstruende tilstander. I dette tilfellet var det multiple saktevoksende lesjoner intrakranielt. Pasienten hadde bagatellisert symptomene frem til at trykket inne i skallen ble så høyt at det begynte å gi symptomer som ikke lenger lot seg ignorere.
LCH er hyppigst blant barn (>70 prosent). Insidensen er hos barn beregnet til 1-5 tilfeller per million årlig. Blant voksne er insidensen 1-2 tilfeller per million årlig. Diabetes insipidus forutgår ofte diagnosen med flere år og er det første symptomet for mange med diagnosen. Assosiasjonen mellom diabetes insipidus og LCH er så sterk at LCH bør mistenkes som forklaring på diabetes insipidus om ikke annet årsaksforhold er åpenbart.
Behandlingen av nevrogen LCH er en utfordring. Vitenskapelige kvalitetsstudier mangler fordi LCH er en sjelden tilstand som gjør det vanskelig å gjennomføre kontrollerte behandlingsstudier. Behandlingen varierer fra ingen behandling til kirurgi, kjemoterapi, kortikosteroider (immunterapi) og lokal stråling.
Vår pasient fikk initialt strålebehandling samt høydoser med kortikosteroider. Stråledosen var totalt 18 Gy mot hodet og med et tillegg av 6 Gy spesifikt mot hjernestammen/pons. Han utviklet et betydelig Cushingpreg og dobbeltsyn under behandlingen. Strålingen førte ikke til noen tilbakegang av lesjonene.
Under strålebehandlingen utviklet deg seg uttalte hormonelle forandringer med lave nivåer av TSH, T4, testosteron, FSH, LH, ACTH, kortisol, veksthormon. Det forelå panhypopituitarisme, og det ble startet med substitusjonsbehandling for de affiserte hormonene.
16 måneder etter oppstart av strålebehandlingen ble det besluttet å forsøke behandling med kladribin, et selektivt immunsuppresivt middel som blant annet brukes ved hårcelleleukemi, og som hadde vist effekt ved LCH. Kladribin ble gitt som intravenøs kur en uke hver måned i fem måneder. I løpet av denne perioden gikk de sentralnervøse lesjonene betydelig tilbake. En tilsvarende kur med kladribin ble gitt vel et år senere da tidlige tegn på residiv av sykdommen ble observert. Etter denne kuren stanset all aktivitet i de patologiske områdene.
Det er uklart om kladribin alene kurerte sykdommen hos pasienten. Det er mulig at strålebehandlingen bidro til svekkelser av blodhjerne-barrieren. Den var ikke intakt under behandlingen med kladribin, og dette kan ha styrket effekten på de intracerebrale lesjonene.
Det har nå gått 15 år siden siste kur. Pasienten går fortsatt til regelmessige MR-kontroller, og det har ikke vært tegn til residiv. Klinisk er han i fin form, men med noen nevrologiske sekveler i form av nedsatt sensibilitet under føttene og i venstre hånd, samt noe balanseproblemer. Hormonelt trenger han fortsatt substitusjon med testosteron, veksthormon og vasopressin. De øvrige hormonene er tilbake innenfor normalområdet uten substitusjon.